Casos Clínicos – Clínica Dental Infantil Navarro Soto, Murcia.
20 años moldeando sonrisas
Ortodoncia Interceptiva
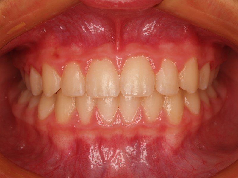
Niño de 8 años con retraso en la erupción de los dos incisivos centrales superiores y falta severa de espacio. Se trató con aparatología ortodoncica fija durante 10 meses.
(+34) 629384569





























